Der Laser ist als modernes Behandlungsgerät aus heutigen Zahnarztpraxen kaum mehr wegzudenken. Seine Anwendung ermöglicht neue Behandlungsmethoden und ergänzt sinnvoll bereits bestehende Therapien.
Der Begriff Laser leitet sich von den Anfangsbuchstaben der die Technik beschreibenden englischen Wörter ab:
L ight
A mplification by
S timulated
E mission of
R adiatio
Ins Deutsche übersetzt bedeutet dies:
„Lichtverstärkung durch stimulierte Abgabe von Strahlung“
Laserbehandlung bedeutet daher eine Behandlung mit Licht, das besondere physikalische Eigenschaften besitzt und nicht mit herkömmlichen Lichtquellen (z.B. Glühlampe) verglichen werden kann.
Der Wunsch der Patienten nach einer minimal-invasiven und schmerzfreien Zahnheilkunde wird durch den Laser weitestgehend erfüllt.
Laser werden inzwischen in vielen Teilen der Medizin angewandt, z.B. in der Augenheilkunde; Herzchirurgie, Hals-Nasen-Ohrenheilkunde, Neurochirurgie, Lungenheil-kunde, Gastroenterologie, Onkologie, Gynäkologie, Orthopädie, Gefäßchirurgie, Dermatologie,Urologie.
In meiner Praxis stehen Ihnen zwei Laserwellenlängen zur Verfügung, mit denen eine vielzahl zahnärztlicher Laser-Behandlungen ausgeführt werden können.

Neodymd - YAG- Laser : 1064nm
Erbium - YAG-Laser : 2940nm
Ich biete Ihnen in meiner Praxis Laserbehandlungen hauptsächlich in folgenden zahnärztlichen Anwendungsbereichen:
Seit Einführung der Laserzahnheilkunde in meiner Praxis im Jahre 1994 wurden von mir bisher über 10000 Laser-Behandlungen ausgeführt.
Im Jahre 2004 wurde ich nach umfangreicher Prüfung (Zertifizierung) zum „Spezialisten für Lasertherapien in der Zahnheilkunde“ von der Deutsche Gesellschaft für Laserzahnheilkunde (DGL) an der Zahnmedizinischen Fakultät der Universität Aachen ernannt:


Ich besitze die Sachkunde gemäß § 6.3 MedGV (AALZ RWTH Aachen) und bin Laserschutzbeauftragter gemäss § 6 BGV B2 Laserstrahlung.
Ich bin Mitglied der Deutschen Gesellschaft für Laserzahnheilkunde seit 1994 und Mitglied der International Society for Lasers in Dentistry seit 1996.
Durch die Einführung der Lokalanästhesie ist die Zahnbehandlung für den Patienten zwar wesentlich erträglicher geworden, jedoch besteht auch weiterhin der Wunsch nach einer schmerzfreien Behandlung ohne vorherige Betäubung, da auch die Lokalanästhesie per Injektion mit Schmerzen verbunden sein kann.
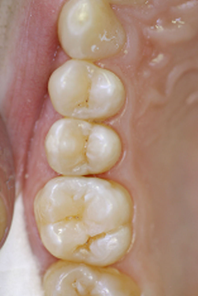
Aus Sicht des Patienten ist der Ersatz des herkömmlichen Bohrers durch den "Laserbohrer" deshalb von besonderer Bedeutung, weil mit ihm erstmals ohne vorherige Betäubung des Zahnes ein schmerzarmes Abtragen kariöser Zahnsubstanz (Schmelz, Zahnbein) ermöglicht wird.
Mit punktförmiger gepulster Lichtenergie werden mikroskopisch kleine Hartsubstanzpartikel aus der Zahnoberfläche herausgeschossen. Dabei ist die thermische Entwicklung auf der Zahnoberfläche so gering, dass selbst bei tieferen kariösen Defekten bei 87% der Patienten keine oder nur leichte Schmerzreaktionen festgestellt werden (Keller/Hibst; Institut für Lasertechnologie in Ulm). Werden Schmerzen verspührt, so äußern sich diese als kurze, nadelstichartige Schmerzsensationen, synchron zum Laserpuls. Unmittelbar nach dem Laserimpuls wird kein Schmerz mehr verspührt. Hinzu kommt, dass das "Laserbohren" ohne Zahnkontakt erfolgt. Daher treten keine unangenehmen Vibrationen und keine hinlänglich bekannten Bohrgeräusche auf.
Behandlungsbeispiel:




Allerdings wäre es verfrüht, davon auszugehen, dass man anstatt dem Bohrer überall den Laser einsetzen kann. Nicht eingesetzt werden kann der Laser z.B. zum Entfernen alter Amalgamfüllungen, da ansonsten giftige Quecksilberdämpfe entstehen könnten. Solcherart vorhandene alte Füllungen müssen vor dem Lasereinsatz mit dem konventionellen Bohrer entfernt werden. Der Laser wird in der Regel auch nicht eingesetzt um große Füllungen vorzubereiten. Er ist zwar angenehmer aber gegenüber dem konventionellen Bohrer deutlich langsamer. Daher eignet sich das Laserbohren vor allem bei kleineren kariösen Defekten. Hier stehen an erster Stelle Behandlungen im Frontzahnbereich und im gut zugänglichen Seitenzahnbereich im Vordergrund.
Ein großer Vorteil liegt beim Bohren mit dem Laser darin, dass durch das punktförmige Abtragen der Zahnhartsubstanz das präparierte Loch (= Kavität) in seiner Ausdehnung äußerst klein gehalten werden kann. Dadurch kann im Gegensatz zum konventionellen Bohren mehr gesunde Zahnsubstanz erhalten werden. Solchermaßen schonend vorbereitete Kavitäten eignen sich besonders zur Versorgung mit weißem Füllmaterialien, also z.B. Composite. Dies ist ein weiterer Beitrag des Lasers, kosmetisch anspruchsvolle Füllungen zu ermöglichen.
Einziger Nachteil bleibt die längere Behandlungszeit wegen der langsameren Abtragsgeschwindigkeit des Lasers gegenüber dem Bohren mit der Turbine.
Das Bohren mit dem Laser bedeutet jedoch für Sie als Patient:
Weitere Informationen erhalten Sie in der Fachpublikation:
„Die Präparation von Klasse-V-Kavitäten mit dem ER:YAG-Laser“ ( PDF-Datei )
Die Fissurenversiegelung ist eine wichtige prophylaktische Maßnahmen zur Verhütung von Karies auf den Kauflächen der Milch- und bleibenden Backenzähnen (= Molaren + Prämolaren).
Durch die Versiegelung der meist haar- oder ampullenförmigen Spalten (=Fissuren) auf den Kauflächen wird das Eindringen von Mundhöhlenbakterien und Speiseresten verhindert. Da sich die Fissuren trotz intensiver Zahnpflege nicht reinigen lassen, muß vor jeder Versiegelung die in den Fissuren befindliche, kariesverursachende Plaque (= Nahrungsbestandteile + Bakterien) restlos beseitigt werden.
Nach konventioneller Methode wird zu diesem Zweck zunächst der Eingang der Fissur mit einem flammenförmigen rotierenden Instrument erweitert. Nur so ist eine Beurteilung des Spaltensystems und das Entdecken möglicher Kariesherde in der Fissur möglich. Nach Reinigung und Ausspülung der Fissur wird diese im Anschluß mittels eines am Zahnschmelz haftenden Kunststoffes verschlossen.



Zur Erhöhung der Sicherheit kann heute das bisherige Verfahren durch Einsatz des Lasers verbessert werden. Mit einer nur 0,32 mm dicken Glasfaser wird die Laserenergie in die Fissur geleitet. Ein zuvor in die Fissur eingebrachtes Initiatorgel erhöht dabei die Absorbtion der Lichtenergie auf der Oberfläche.
Durch explosionsartiges Verdampfen des Gels entstehen thermische Effekte, die zu einer echten Sterilisation (= Abtötung aller Bakterien) der Fissur führen. Gleichzeitig wird das Zahnbein in der Fissur oberflächlich eingeschmolzen und quasi verglast. Dadurch wird das Zahninnere zusätzlich nach außen abgeschirmt.
Der Patient empfindet bei dieser Maßnahme lediglich ein impulsförmiges, akustisch wahrnehmbares "Tacken" auf der Zahnoberfläche. Schmerzen treten dabei nicht auf.
Behandlungsbeispiel:



Für den Patienten bedeutet diese Fissurensterilisation vor der Versiegelung der Fissur
mit Kunststoffen:
1. Eine echte Abtötung (=Sterilisation) der kariesverursachenden Keime in der Fissur.
2. Einen zusätzlichen Verschluß des Zahnbeins durch "Verglasung".
3. Eine zusätzliche Erhöhung der Sicherheit in Bezug auf Kariesneubildung in der Fissur
Chirurgische Eingriffe an Weichgeweben der Mundhöhle werden immer dann notwendig, wenn durch akute entzündliche Prozesse oder durch chronische Reize Gewebeüberschußbildungen hervorgerufen werden. Als Beispiele sind hier der Weichteilabszeß, das Fibrom, die Epulis oder Zahnfleischhyperplasien zu nennen.
Bei konventioneller Behandlungsmethode wird nach Betäubung mit Anaesthetikum das betreffende Gewebeareal mit dem Skalpell herausgeschnitten. Anschließend werden die Wundränder mit Nähten fixiert und die Blutung durch einen Kompressionsverband zum Stillstand gebracht.
Durch Einsatz des Lasers ist es jedoch heute möglich eine Reihe chirurgischer Eingriffe für den Patienten angenehmer, schneller und sicherer durchzuführen. Die herkömmliche Methode wird dabei durch den Lasereinsatz i.d.R. völlig ersetzt, weil mit dem Laser die Durchtrennung von Gewebe ohne Skalpell und ohne Auftreten von Blutungen möglich ist.
Durch Umwandlung des Laserlichtes im Gewebe wird das gelaserte Weichgewebe punktuell verdampft. Gleichzeitig kommt es zum Verschluß eröffneter Blutgefäße (=Koagulation); eine Blutung bleibt daher aus. Aus diesem Grund kann deshalb in den meisten Fällen auf eine Wundversorgung mit Nähten und auf einen Kompressionsverband verzichtet werden. Zudem wird die Wundoberfläche durch die Wirkung des Laserlichtes sterilisiert. Häufig bildet sich auf der Wundfläche ein weißlich aussehender Fibrinbelag,
der als körpereigenes "Wundpflaster" zu verstehen ist. Dieser sollte vom Patienten auch nicht entfernt werden. Er verschwindet nach Abschluß der Wundheilung. Bei der Laserchirurgie benötigt man zudem nur halbsoviel Betäubungsmittel wie bei konventioneller Behandlungsart.
Behandlungsbeispiel: Tumorentfernung im Mundwinkel





Behandlungsbeispiel: Entfernung eines Muttermals
1. Ausgangsbefund:
Muttermal unter dem rechten Nasenflügel; Durchmesser ca. 8-10 mm


2. Befund unmittelbar nach der Laserexzision


3. Befund nach Abheilung (10 Tage nach der Entfernung)


Für Sie als Patient bedeutet dies:
Der Herpes labialis ist eine häufig wiederkehrende Schleimhauterkrankung. Etwa 16-45% der Bevölkerung sind mit dem Herpes-simplex-virus 1 (HSV1) infiziert. Viele der latenten Virusträger leiden unter häufige wiederkehrenden Schleimhaut- oder Hautveränderungen (=Effloreszenz). Sie sind für den Patienten dadurch gekennzeichnet, dass im Zusammenhang mit der Effloreszenz (gruppiert stehende Bläschen auf gerötetem Grund) ein äusserst unangenehmes Hautjucken oder -brennen auftritt.
Nach Aufplatzen der Bläschen trocknen diese langsam aus und heilen i.d.R. nach ca. 3 Wochen ab. Das Sekret der Bläschen ist extrem mit Herpesviren verseucht und damit höchst infektiös.
Zur Behandlung werden konventionell antivirale Medikamente eingesetzt werden. Jedoch hat sich gezeigt, dass zunehmend virustatika-resistente HSV-Stämme existieren, so dass diese Salben keine Wirkung mehr zeigen.
Der Einsatz des Lasers bei der Behandlung von Herpes und Aphthen liegt in der Zerstörung der in der Hauterscheinung (Primäreffloreszenz) gelegenen Krankheitserreger (beim Herpes der HSV1-Virus) . Das betreffende Schleimhautareal wird dazu mit dem Laserlicht bestrahlt und damit die in der Wundoberfläche befindlichen Keime abgetötet.
Untersuchungen haben gezeigt, dass durch den Lasereinsatz die Abheilungsphase verkürzt wird und erstaunlicherweise die Tendenz zum erneuten Auftreten der Erkrankung (=Rezidiv) auf dem laserbehandelten Schleimhautareal vermindert ist. Die bestrahlte Wundoberfläche ist unmittelbar nach der Behandlung gegenüber äusseren Reizen weniger empfindlich, was die subjektiven Schmerzbeschwerden des Patienten unmittelbar vermindert.
Behandlungsbeispiel: Herpesbehandlung



Dies bedeutet für Sie als Patient:
Endodontitis bedeutet eine Entzündung des Zahnmarkes (= Zahnnervengewebe im Zahninneren) bedingt durch eingewanderte Bakterien. Die Einwanderung der Bakterien durch die Zahnhartsubstanz (Zahnschmelz/Zahnbein) bis hin zum Zahnmark erfolgt über kariöse Defekte des Zahnes. Haben die Bakterien das Zahnmark erreicht, so können sie sich dort schnell vermehren und lösen dadurch massive Entzündungsreaktionen mit dem typischen starken Zahnschmerz aus.
Ziel der Wurzelkanalbehandlung ist es, das entzündete Zahnmark zu entfernen, die mit Bakterien verseuchte Wurzelkanalinnenwand zu reinigen und anschließend den Wurzelkanal möglichst hermetisch abzuschließen. Dieses therapeutische Vorgehen wird als Wurzelkanalbehandlung oder Endodontie bezeichnet und soll eine neuerliche Bakterienbesiedelung des Wurzelkanals und die oben beschriebene Entzündungsausbreitung in den Kieferknochen verhindern.
Breitet sich die Entzündung über den Wurzelkanal hinaus an der Wurzelspitze im umliegenden Kieferknochen aus, so entsteht in der Folge zumeist die berühmte "Dicke Backe" (=Weichteilabszeß durch Entzündung der Wurzelspitze). Häufig kann die alleinige Wurzelkanalbehandlung den Entzündungsherd an der Wurzelspitze (=Granulom) nicht mehr zur Abheilung bringen. In solchen Fällen ist dann eine sog. Wurzelspitzenresektion erforderlich – ein chirurgischer Eingriff, bei dem die Wurzelspitze zusammen mit dem Granolum aus dem Kiefer entfernt wird.
In allen Fällen der Zahnmarksentzündung und insbesondere bei Entzündungen der Wurzelspitze empfiehlt sich neben der herkömmlichen chemisch-mechanische Aufbereitung des Wurzelkanals die zusätzliche Laserung der Wurzelkanalinnenseiten. Dazu wird eine dünne Glasfaser angewendet, die die Laserenergie in den Wurzelkanal leitet. Mit der Laserenergie wird ein sehr großer Teil der Bakterien (bis 97%) in der Wurzelkanalwandung abgetötet (=Wurzelkanalsterilisation) , der nach der chemisch-mechanischen Aufbereitung noch im Kanal und in der Zahnwurzelwandung verblieben ist.
Zudem bewirkt die Laserenergie einen Verschluß der sogenannten Dentintubuli an den Kanalinnenwänden. Diese Dentintubuli sind feinste Känäle der Wurzelwandung, die ebenso wie der Hauptwurzelkanal mit der Wurzeloberfläche des Zahnes in Verbindung stehen. Der Verschluß dieser Kanälchen durch den Laser verhindert somit eine Besiedelung der Wurzelumgebung mit Bakterien aus dem Wurzelkanal heraus (=hermetischer Verschluß).
Besteht bereits ein Granulom so kann durch die Laserbehandlung in den meisten Fällen auf die sonst notwendige Wurzelspitzenresektion verzichtet werden. Der Organismus ist nach der vorbeschriebenen Laserbehandlung zumeist in der Lage, das Granulom an der Wurzelspitze wieder aufzulösen. Die Regeneration des Kieferkochens an der Wurzelspitze muss 4-6 Monate nach der laserunterstützten Wurzelkanalbehandlung durch eine erneute Röntgenaufnahme kontrolliert werden.
Der unterstützende Lasereinsatz bewirkt somit ein Höchstmaß an Keimreduktion im Wurzelkanal und einen optimierten Verschluß zur Zahnumgebung. Selbst stark infizierte Zähne können dadurch zur Ruhe kommen, die mit herkömmlichen Mitteln nicht hätten erhalten werden können. Dies haben Untersuchungen von Prof. Gutknecht am Klinikum der RWTH Aachen eindeutig belegt.
Behandlungsbeispiel:



Dies bedeutet für Sie als Patient :
Parodontitis bedeutet eine Entzündung des Zahnfleisches und damit einhergehend eine Schädigung des gesamten Zahnhalteapparates (= Zahnfleisch und Kieferknochen). Dies führt langfristig zum Verlust der Zähne. Ursächlich für diese Erkrankung sind in aller Regel Fehler bei der Mundhygiene. Hier helfen wir Ihnen durch eine professionelle Mundhygieneschulung sowie durch eine Professionelle Zahnreinigung, die vor jeder Parodontalbehandlung durchgeführt werden muß, um einen dauerhaften Erfolg der anschließenden Zahnfleischbehandlung sicherzustellen. Anschließend ist es notwendig, die Schäden unterhalb der Zahnfleischgrenze zu beseitigen, die sich trotz perfekter Mundhygiene nicht mehr zurückbilden können. Ziel der Behandlung ist das Erreichen einer größtmöglichen Keimarmut in der entzündlich veränderten Zahnfleischtasche (=Sulkus) und auf der bakterienverseuchten Wurzeloberfläche. Nach wie vor muss dazu grundsätzlich zunächst die Wurzeloberfläche von allen entzündungsfördernden Ablagerungen (= Konkremente, und Schmierschichten) befreit werden, da diese den Nährboden für die Bakterien darstellen. Im Anschluß daran werden nach der bisherigen Therapiemethode häufig das entzündete Zahnfleisch mit dem Skalpell gekürzt und die Wundränder anschließend vernäht.
Der Laser macht es nun möglich, die Zahnbettbehandlung wesentlich weniger traumatisierend auszuführen.
Dabei wird die Zahnfleischtasche und die Wurzeloberfläche durch Laserlicht von entzündungsverursachenden Keimen befreit. Die Laserung dieser Zahnbettbereiche führt zu einer größtmöglichen und mit konventionellen Mitteln nicht erreichbaren Entfernung der stark bakterienhaltigen Schmierschicht (Smearlayer) der Wurzeloberfläche sowie einer deutlichen Reduktion der freien Sulkusbakterien (Swimmer). Untersuchungen haben gezeigt, dass pigmentierte Bakterienstämme bis zu 99% und nichtpigmentierte Stämme bis ca. 75% reduziert werden. Bei PA-Behandlung ohne Laser werden lediglich nur bis zu 25% der Bakterien eleminiert. Die signifikant höhere Bakterienabtötung mittels Lasereinsatz erklärt die deutlich bessere Wundheilung. Zudem kann bei Taschentiefen bis ca. 7 mm auf eine chirurgische Aufklappung des Zahnfleische verzichtet werden. Dadurch gestaltet sich die PA-Behandlung i.d.R. weniger invasiv und die postoperativen Beschwerden sind auf Grund des geringeren Gewebetraumas für den Patienten leichter zu ertragen. Die häufig mit Ängsten besetzte Parodontalbehandlung wird komfortabler, effizenter und angenehmer.
Die Laserbehandlung wird zeitgleich mit der konventionellen Zahnwurzelglättung unter lokaler Anästhesie ausgeführt. In schweren Fällen kann die wiederholte Laserung der Zahnfleischtasche erforderlich sein.
Dies bedeutet für Sie als Patient:
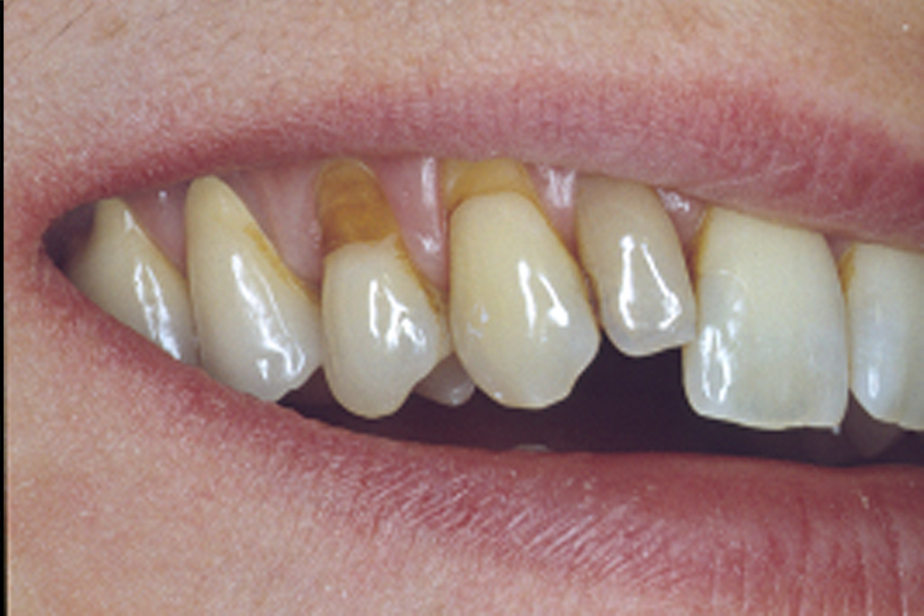
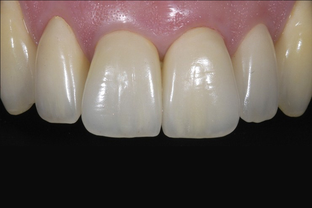
Die präzise Darstellung präparierter Zahnstümpfe auf dem zahntechnischen Meistermodell stellt auch heute noch eine der wichtigsten Schnittstellen zwischen Zahnarzt und Zahntechniker dar. In der Produktionskette hin zur fertigen Krone nimmt dabei der Zahnarzt eine entscheidende Schlüsselstellung ein. Nur er kann durch seine reproduzierbare und präzise Abformmethodik die Voraussetzung für ein perfektes Modell schaffen und damit Passungenauigkeiten der anzufertigenden Krone vermeiden. Dies ist besonders deshalb wichtig, weil Passungenauigkeiten an Kronenrestaurationen (Über- und Unterextension des Kronenrandes, übergroßer Randspalt ) häufig eine Fülle perioprothetischer und ästhetischer Probleme verursachen (Abb.1 ) :


Da die Präparationsgrenze bzw. der Präparationsrand in der Regel 0,5 bis 1,5 mm unterhalb des Zahnfleischrandes (= subgingival ) verläuft, wird zumeist während der Präparation des Zahnes das Zahnfleisch verletzt. In der Folge tritt eine verstärkte Blutung am Zahnfleischrand (= Sulkus) auf.
Bei der anschließenden Abformung der präparierten Zahnstümpfe bestehen zwei Probleme (Abb2.) . Zum Einen muss das den Zahn umgebende Weichgewebe vom Präparationsrand abgedrängt werden (= Retraktion) und zum Anderen darf während der Abformung kein Blut auf die abzuformende Zahnoberfläche gelangen. Unzureichende Retraktion und Blutungen im Sulkus verhindern eine präzise Abformung. Die Abformung muss wiederholt werden.
Mit Hilfe des Lasers können heute erstmals diese beiden. Hauptprobleme bestmöglich in den Griff bekommen werden.
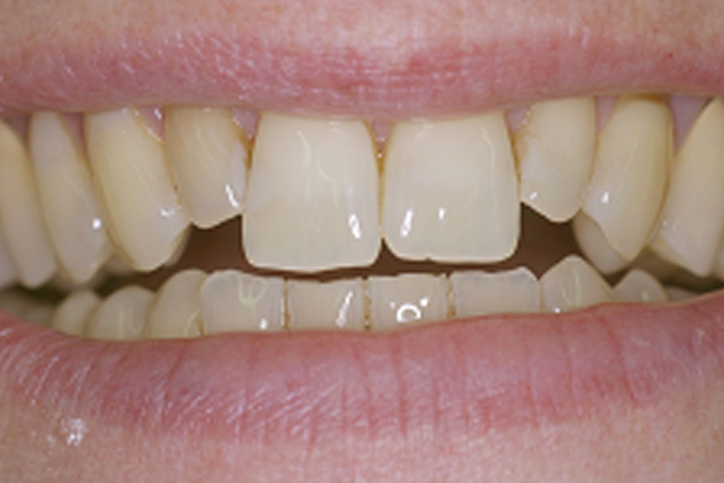
Der Laser verdampft punktuell störende Gewebeanteile im Sulkus und stoppt gleichzeitig durch seine blutungsstillende Wirkung die Gewebeblutung . Dabei ist die Gewebeschädigung (=Trauma) minimal. Durch diese minimaltraumatisierende Wirkung ist die anschließende Wundheilung wesentlich schmerzärmer als bei der früher üblichen elektrochirurgischen Abtragung. Im Zuge der Heilung ist die Schrumpfungstendenz des Zahnfleischrandes zudem erheblich geringer. Dies fördert das ästhetische Erscheinungsbild der eingegliederten Krone im Zahnhalsbereich, da der Kronenrandbereich unterhalb des Zahnfleischrandes verbleibt (Abb. 3 ).

im Bereich der Vollkeramikkronen an den Oberkieferfrontzähnen 13-23
Für Sie als Patient bedeutet dies:
Weitere Informationen erhalten Sie in der Fachpublikation:
„Die ND:YAG-Laser unterstützte Präzisionsabformung“ ( PDF-Datei )
| Montag | 08:00-12:00 | 13:30-17:45 |
| Dienstag | 08:00-12:00 | 13:30-17:45 |
| Mittwoch | 08:00-12:00 | 13:00-17:30 |
| Donnerstag | 08:00-12:00 | 13:30-17:45 |
| Freitag | geschlossen | |
| Samstag | geschlossen | |
| Sonntag | geschlossen | |
